窝沟封闭常用的方法汇总:

窝沟封闭常用的方法

1自酸蚀粘结窝沟封闭

2全酸蚀粘结窝沟封闭

3釉质成形封闭术

4釉质成形+全酸蚀粘结封闭术

5常规法

自酸蚀法

听起来跟树脂修复牵扯上了,其实窝沟封闭剂就是树脂。随着自酸蚀粘结技术的进一步发展, 因其操作简单快捷,生物相容性也很好,在树脂与修复治疗中得到广泛应用。
但是实验对比效果,这种方法在窝沟封闭上不容乐观:自酸蚀的完全保留明显低于磷酸酸式,产生这样结果的原因我们认为可能是自酸采用弱酸处理牙釉质表面,处理后不用水冲洗,溶解的矿物质与其他成分留在了牙面上,与封闭剂结合成混合层,有这层玷污层(混合层)的存在影响树脂渗入,降低了固位力。

全酸蚀窝沟封闭

相比较自酸蚀与常规窝沟封闭的操作,全酸蚀窝沟封闭相对操作复杂。
全酸蚀同样采用磷酸蚀后,牙釉质表面脱矿均匀,产生大量微孔结构,这点是有利于固位的。
冲洗后釉质表面微孔完全暴露,有利于粘稠度低,流动性好的粘结剂充分渗入釉柱间,促进了窝沟封闭材料与牙齿表面的结合,同时这些粘结剂还可以渗透更深层细小的裂隙,补充封闭的效果。
另外我们现在常用的粘结剂具有亲水特性,以丙酮为载体的有机溶剂型底胶,同时置换出釉质表面多余的水分,促进亲水性单体渗入釉质微孔,增强封闭剂与釉质的密合性,减少封闭剂与牙体组织之间的间隙。减少了继发龋的可能性。

窝沟釉质成形封闭术

窝沟釉质成形封闭术相比较前者操作繁琐,时间长,患者配合要求高。
我们之前说过牙齿颌面存在不同形态和深度的窝沟点隙,窝沟内的菌斑和其他物质程度也各不相同,另外加上窝沟的釉质结构矿化程度差异,一般清理窝沟的方法难以彻底清洁,会影响酸蚀剂的效果,这样封闭剂也很难完全进入窝沟的深部,影响封闭效果,为此国外有提出通过机械预备窝沟,用以增强封闭剂在窝沟内的渗透性,并提高窝沟封闭效果的方法,即窝沟釉质成形封闭术EST。
优点
1.EST 改变窝沟固有形态,扩大窝沟的开口,这样利于有机充塞物和菌斑的清理,这是可以肯定的。
2.增加釉质蚀刻后微孔内树脂渗透的深度
3.增强封闭机的粘结性减少微渗漏的发生。
但是这种方法真的就完美,真的就好吗?
我们想一想,面对的操作群体是儿童,青少年,复杂的口内操作不可避免的会出现问题。
另外当牙齿经过机械打磨后,窝沟封闭剂由于唾液污染或其他原因一旦脱落,如果不能及时修补,后期形成龋齿的可能性会高很多。

美国皓齿的UltraSeal XT plus是一种光固化、影像学阻射、持续释放氟的复合封闭剂。这种复合封闭剂含有58%填料,因此更坚固、耐磨,其聚合收缩性也比同类产品要小。螺旋毛刷输送头通过搅拌对有触变性的UltraSeal XT plus材料产生剪切稀释作用,使封闭剂在被输送钻度减低。剪切稀释作用停止并且树脂就位后即凝固,这样,在光固化之前可以有效阻止封闭剂流动。应用与UltraSeal XT配套的PrimaDry可以增强封闭剂的效果,它通过消除潮湿,使UltraSeal XT plus更易渗入到窝沟点隙之中,避免引起窝沟封闭失败。

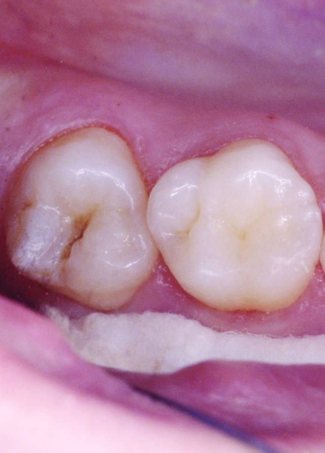
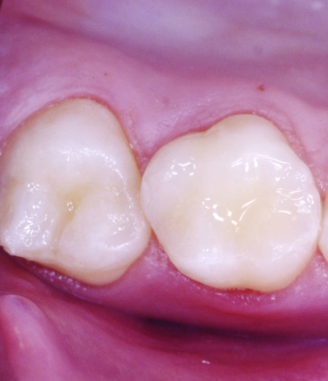
窝沟封闭前后

窝沟封闭前

窝沟封闭后

易患龋的深窝沟和早起龋损

高质量的封闭,对于任何年龄的都有益

步骤

(1)酸蚀20秒,冲洗。图示为应用螺旋毛刷输送头,也可以使用蓝色输送头。

(2)吹干,并使用PrimaDry干燥介质。图示应用的是黑色FX输送头,也可以使用蓝色输送头来。

(3)应用UltraSeal XT Plus窝沟封闭剂。

(4)应用光固化等照射。

窝沟封闭常用的方法汇总:
滚动到顶部